Otto hatte einen Autounfall!
- Dietmar Jürgens

- 23. Sept. 2022
- 1 Min. Lesezeit
Aktualisiert: 31. Okt. 2022
Rumänien/Bukarest
Otto wurde mit seinen 12 Geschwistern auf einem Fabrikgelände in Bukarest geboren. Die Mitarbeiter der Fabrik kümmerten sich erstmal um die Rasselbande und informierten den örtlichen Tierschutz, Gabriela übernahm die Verantwortung für die "kleine" Familie.
Alle Welpen waren dort gut geschützt und blieben zusammen auf dem sicheren Gelände.
Alle, außer Otto...
Im Bemühen, seiner Mama bei einem ihrer Ausflüge außerhalb des Fabrikgeländes zu folgen, erfasste ihn ein Auto.
Schwerverletzt wurde der kleine Kerl sofort in die nächste Klinik gebracht.
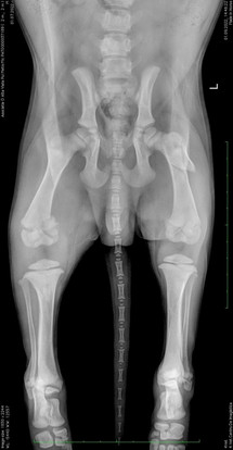
Die Diagnose lautete, neben etlichen schmerzhaften Prellungen: Oberschenkelbruch des linken Hinterlaufs!
Otto konnte erfolgreich operiert werden und befindet sich nun bei Gabriela zu Hause, denn es bedarf hier einer intensiven Pflege und Nachsorge, die im Shelter nicht gewährleistet werden kann.
In den ersten Tagen war absolute "Bettruhe" angesagt, eine Herausforderung für so ein kleines quirliges Kerlchen und für die Pflegemama, Otto ruhig zu halten war nicht einfach!
Der Bruch ist gut am abheilen und Otto so langsam wieder ganz gut zu Fuß.
Zu seinem Beitrag geht es hier:
Der Eingriff hat 1.331 Lei gekostet, das sind umgerechnet: 269,23 €.
Wenn du uns helfen möchtest, Ottos Rechnung zu begleichen, dann spende bitte auf das bekannte Vereinskonto unter dem VZ: "Hilfe für Otto"
oder
Bankverbindung:
Licht für Schattenhunde e.V.
Sparkasse Schaumburg
IBAN: DE 79 2555 1480 0313 7560 41




























Kommentare